Железногорск,
ул. Свердлова, зд. 35, пом. 1
Пн, Ср, Пт: 12:00-19:00
Вт, Чт: 9:00-19:00
Для слабовидящих
Пн, Ср, Пт: 12:00-19:00
Вт, Чт: 9:00-19:00
Железногорск,
ул. Свердлова, зд. 35, пом. 1
Для слабовидящих
Протезирование
Протезирование на имплантатах по технологии All-on-4 и All-on-6
Протезирование на имплантатах по технологии All-on-4 и All-on-6
Исправляем прикус в любом возрасте, с гарантией результата.
Брекеты
Ортодонтия
Показания
  • Неправильный прикус;
  • Аномалии развития зубочелюстной системы;
  • Неправильное положение одного или нескольких зубов;
  • Скученность зубов;
  • Зубочелюстные деформации, возникшие в результате длительного отсутствия зубов;
  • Создание условий для ортопедического, имплантологического лечения.
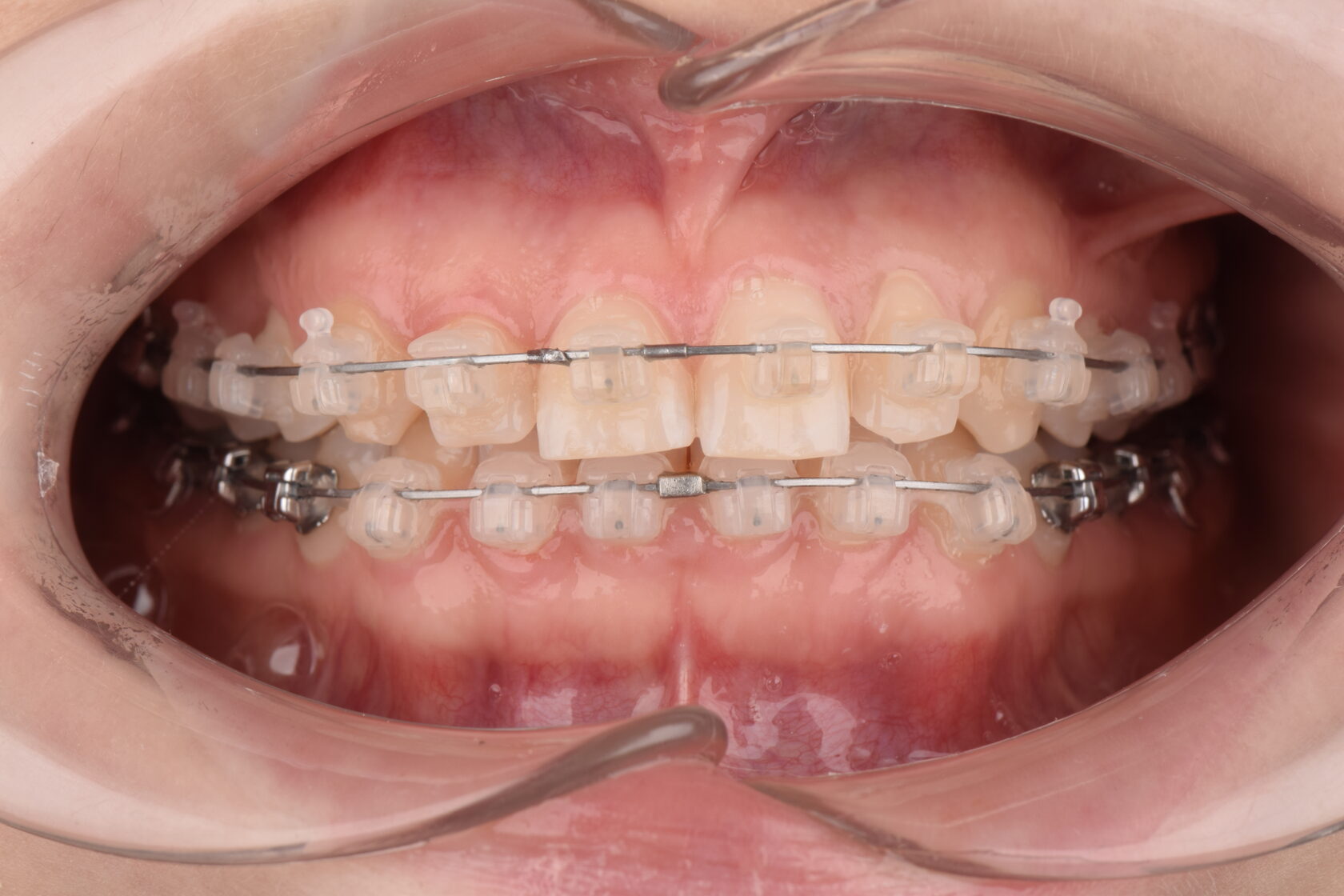
Металлические
Система которая состоит из металлической дуги и брекетов (скобок).
Какие бывают брекет-системы:
Керамические
Эстетичная полупрозрачная ортодонтическая система (брекеты практически не видно на зубах) и металлическая дуга.
В нашей клинике мы устанавливаем как детям, так и взрослым, брекеты следующих видов:
Комбинированные
Металлическая и Керамическая — в зоне улыбки устанавливается керамическая брекет-система, на остальные зубы- металлическая.
Перед лечением, пациент проходит комплексную ортодонтическую подготовку, в нее входит:
1. Консультация ортодонта
Перед установкой брекетов необходимо посетить ортодонта, который проведет полное обследование зубов и челюстей. Врач оценит вашу ситуацию, проведет диагностику, чтобы понять, как лучше всего исправить прикус.

Диагностический этап включает:
  • 3D-снимок зубов (КЛКТ) по которому проводится оценка состояния всех зубов.
  • Телерентгенограмма - дает возможность определить направление передвижения зубов, спрогнозировать результат ортодонтического лечения, спланировать проведение челюстно-лицевой операции (при необходимости).
  • Снятие слепков или сканирование зубов для изготовления диагностической модели.

2. Составление плана лечения
После обследования ортодонт составит план лечения, который может включать рекомендации по срокам ношения брекетов, возможным промежуточным процедурам, а также необходимым коррекциям в будущем. Это может занять от нескольких недель до нескольких месяцев.

3. Подготовка зубов к ортодонтическому лечению
Профессиональная гигиена полости рта, полная санация полости рта (если у вас есть кариес или другие проблемы, их следует устранить до установки системы).
Как устанавливают брекет-систему
1. Подготовка зубов
Врач очищает поверхность зубов щеткой с пастой, высушивает зубы с помощью воздушной струи, чтобы обеспечить лучшее прилипание адгезива (клея).

2. Нанесение адгезива (клея)
На каждый брекет наносится специальный адгезив, предназначенный для сцепления брикета и зуба.

3. Фиксация брекетов
Брекеты приклеиваются к каждому зубу.

4. Установка дуги
После установки брекетов ортодонт крепит металлическую дугу, которая к ним прикрепляется с помощью маленьких лигатур (резиночек или проволочек) или замочков.

5. Указания по уходу
После установки брекет-системы ортодонт даст вам рекомендации по уходу за зубами, которые могут включать:
Повышенное внимание к гигиене полости рта.
Использование специальных щеток и ершиков для чистки зубов.
Избегание твердых, липких или сладких продуктов, которые могут повредить брекеты.

6. Ношение и снятие
После установки брекетов необходимо будет периодически посещать ортодонта для их коррекции. Врач будет регулировать натяжение дуги и менять их, что позволит перемещать зубы в нужном направлении. Брекеты в среднем носят от одного до трех лет. После достижения желаемого результата брекеты снимаются. Затем, чтобы сохранить исправленный прикус, обычно рекомендуется носить ретейнеры, которые помогают зубам не возвращаться в исходное положение.