Железногорск,
ул. Свердлова, зд. 35, пом. 1
Пн, Ср, Пт: 12:00-19:00
Вт, Чт: 9:00-19:00
Для слабовидящих
Пн, Ср, Пт: 12:00-19:00
Вт, Чт: 9:00-19:00
Железногорск,
ул. Свердлова, зд. 35, пом. 1
Для слабовидящих
Протезирование
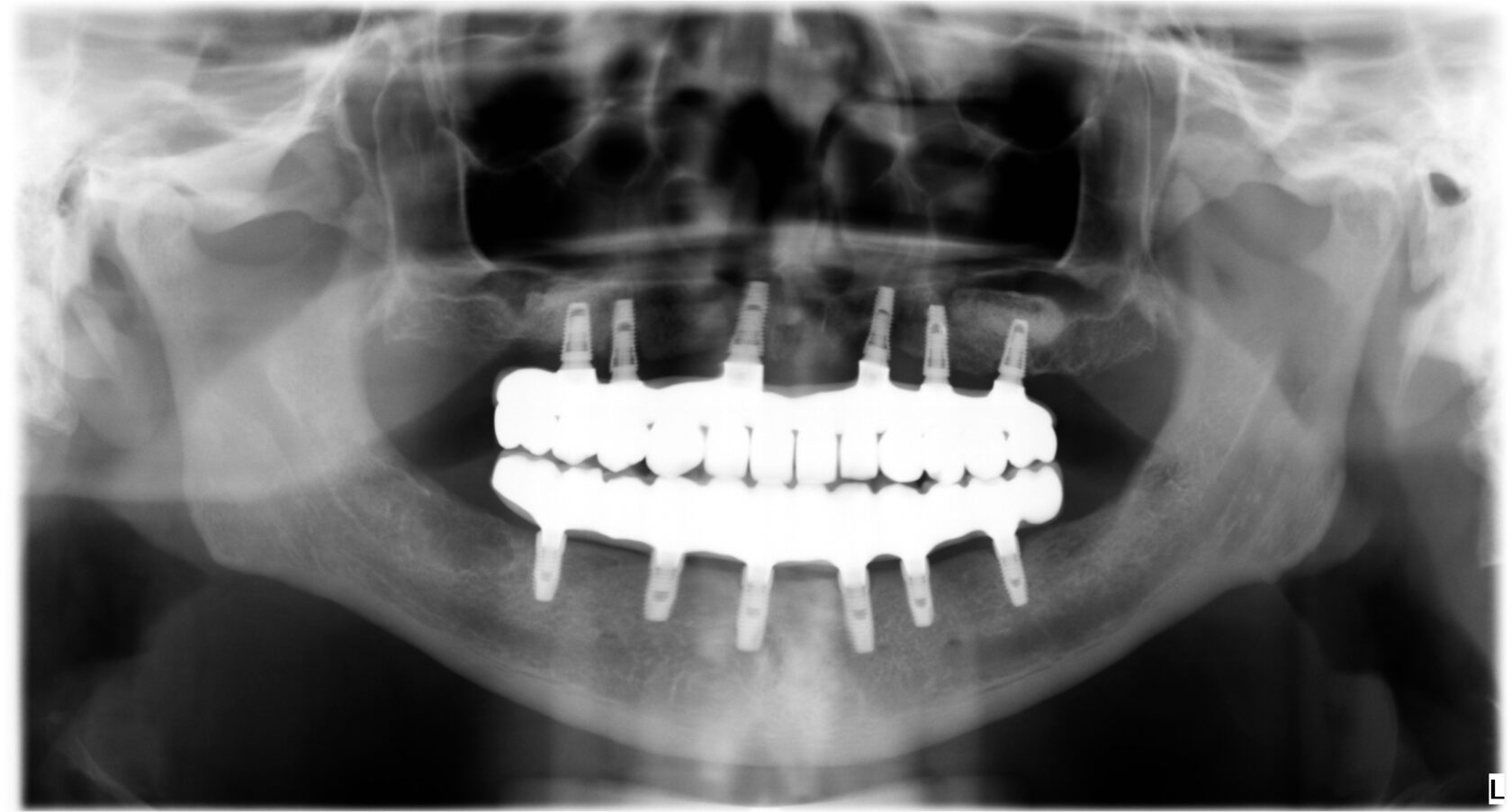
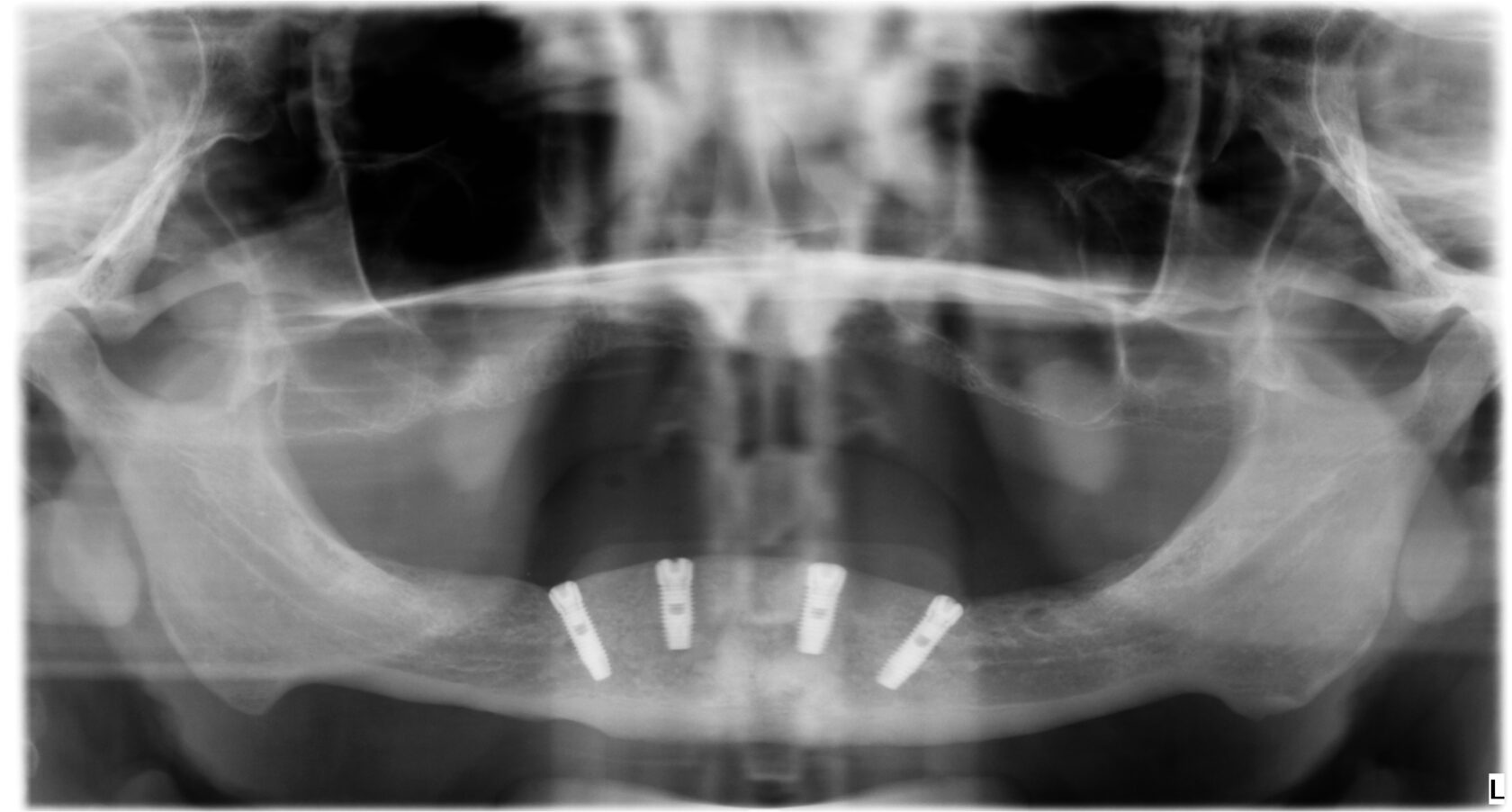
Протезирование на имплантатах по технологии All-on-4 и All-on-6
Протезирование на имплантатах по технологии All-on-4 и All-on-6
Протезирование на имплантатах по технологии All-on-4 и All-on-6
Протезирование
Методики All-on-4 и All-on-6 представляют собой эффективные решения для пациентов с полной утратой зубов на одной или обеих челюстях. Эти методы предлагают ряд преимуществ, включая минимально инвазивное вмешательство и быструю реабилитацию
Показания
  • Полная адентия (отсутствие всех зубов) на одной или обеих челюстях
  • Если зубы сильно разрушены или страдают от серьезных заболеваний, например, таких как пародонтит в тяжелой стадии
  • Недостаточный объем костной ткани для установки имплантатов
All-on-4
Эта методика подразумевает использование четырех имплантатов для поддержки несъемного протеза. Имплантаты размещаются под углом в задней части челюсти, что позволяет использовать максимальную длину костной ткани без необходимости в дополнительной костной пластике. Это также дает возможность использовать более короткие имплантаты в местах с ограниченной высотой кости.
All-on-6
В данном подходе используются шесть имплантатов для закрепления протеза. Это увеличивает стабильность и прочность конструкции, что особенно важно для пациентов с большим жевательным нагрузками или теми, кто предпочитает более жесткий протез.
Методики All-on-4 и All-on-6 представляют собой эффективные решения для пациентов с полной утратой зубов на одной или обеих челюстях. Эти методы предлагают ряд преимуществ, включая минимально инвазивное вмешательство и быструю реабилитацию.
Протезирование на имплантатах
по технологии All-on-4 и All-on-6
Преимущества методов All-on-4 и All-on-6
Скорость и удобство:
Оба метода позволяют установить временный протез в день операции, что значительно сокращает время ожидания завершения лечения и возвращает пациента к полноценной жизни.

Минимальное количество операций:
Чаще всего требуется только одна хирургическая процедура, что снижает общее время восстановления и связанные риски.

Оптимизация костной ткани:
Оба метода направлены на максимальное использование существующей костной ткани, что минимизирует потребность в дополнительных вмешательствах, таких как костная пластика.

Эстетика и функциональность:
Протезы, установленные на имплантах, выглядят и функционируют как натуральные зубы, обеспечивая высокую эстетическую привлекательность и уверенность в себе.

Стабильность и надежность:
Протезы, установленные на имплантах, обеспечивают гораздо большую стабильность по сравнению со съемными протезами. Они фиксируются в челюсти, что предотвращает их смещение или выпадение при жевании или разговоре.

Естественное ощущение:
Пациенты чаще отмечают, что протезирование по технологии All-on-4 и All-on-6 обеспечивают более естественное ощущение в ротовой полости, так как они функционируют как корни зубов, в отличие от съемных протезов, которые могут вызывать дискомфорт.

Улучшенная функция жевания:
Благодаря более высокой стабильности и креплению к костной ткани, протезы на имплантах позволяют пациентам легче и эффективнее жевать. Это способствует улучшению усваиваемости пищи и здоровью желудочно-кишечного тракта.

Упрощенная гигиена:
Уход за протезами на имплантах проще, чем за съемными. Поскольку они фиксируются в ротовой полости, пациентам необходимо просто следить за гигиеной зубов, как за естественными. Съемные протезы требуют регулярной чистки и дезинфекции вне полости рта.

Долговечность:
Импланты обычно служат дольше, чем съемные протезы, при правильном уходе и соблюдении рекомендаций врача. Это делает их более экономически целесообразным вариантом в долгосрочной перспективе.

Процедура имплантации включает в себя несколько этапов, которые могут длиться до 6-8 месяцев в зависимости от клинической ситуации.